ΕΝΟΤΗΤΕΣ
ToggleΟι Κακώσεις της ακρωμιοκλειδικής άρθρωσης συμβαίνουν στην ακρωμιοκλειδική άρθρωση, η οποία εντοπίζεται στην ανατομική περιοχή της ωμικής ζώνης και αποτελεί την σύνδεση μεταξύ του περιφερικού άκρου της κλείδας και της ωμοπλάτης καθώς το ακρώμιο είναι ανατομικό μέρος της ωμοπλάτης και αποτελεί την οστική προεξοχή που γίνεται αισθητή στον ώμο.
Το ακρώμιο συνδέεται με την κλείδα με τη βοήθεια ισχυρών συνδέσμων, τον άνω και τον κάτω ακρωμιοκλειδικό σύνδεσμο και περιέχει έναν διάρθριο χόνδρινο δίσκο που ενεργεί σαν ανάρτηση («ή σαν μαξιλάρι»).
Πρόκειται για μια σημαντική άρθρωση καθώς συνδέει την ωμική ζώνη με το υπόλοιπο σώμα και αποτελεί πηγή έντονου πόνου μετά από τραυματισμό.

Τι προκαλεί τον πόνο στις Κακώσεις της ακρωμιοκλειδικής άρθρωσης;
Σε φυσιολογικές συνθήκες, ο διάρθριος χόνδρινος δίσκος μεταξύ του ακρωμίου και της κλείδας λειτουργεί ως ανάρτηση που επιτρέπει την ελεύθερη κίνηση μεταξύ των δύο οστών όταν κινείται ο ώμος.
Ωστόσο, μερικές φορές, αυτός ο δίσκος μπορεί να εκφυλιστεί με τα χρόνια, μετά από επαναλαμβανόμενες κινήσεις με τους ώμους ψηλά και την άρση βαρών ή να τραυματιστεί μετά από μια κάκωση, όπως μια πτώση πάνω στο τεντωμένο χέρι.
Αυτό φέρει σαν αποτέλεσμα τη δημιουργία πόνου και ορισμένων μηχανικών συμπτωμάτων με αίσθηση «κλικ» ή «μαγκώματος».
Η φλεγμονή που προκαλείται μπορεί να οδηγήσει σε οστεόλυση και εκφύλιση της άρθρωσης, παθολογική κατάσταση που συναντάται συχνά στους αρσιβαρίστες.
Σε ορισμένες περιπτώσεις ο πόνος μπορεί να οφείλεται στις οστεοαρθριτικές αλλοιώσεις που είναι μέρος μιας φυσιολογικής διαδικασίας της γήρανσης, αλλά μπορεί να είναι το αποτέλεσμα τραυματισμού ή επαναλαμβανόμεων φορτίσεων της άρθρωσης.
Σ’αυτές τις περιπτώσεις ονομάζεται μετατραυματική αρθρίτιδα.

Αίτια – Πως δημιουργούνται τα τραύματα στις Κακώσεις της ακρωμιοκλειδικής άρθρωσης
Η ακρωμιοκλειδική άρθρωση υπόκειται πολύ συχνά σε τραυματισμούς.
Πολλές φορές, ο μηχανισμός της κάκωσης περιλαμβάνει μια πτώση πάνω στον ώμο σε έκταση ή την άμεση πλήξη της περιοχής.
Τα ομαδικά αθλήματα επαφής (ποδόσφαιρο, καλαθοσφαίριση, χοκεϋ κ.α.) είναι κυρίως αυτά που ενοχοποιούνται για τις κακώσεις της ακρωμιοκλειδικής.
Όπως προαναφέρθηκε, η αρκρωμιοκλειδική άρθρωση ενισχύεται από ισχυρούς συνδέσμους που σε συνδυασμό με τους κορακοκλειδικούς και τον ακρωμιοκλειδικό σύνδεσμο προσδίδουν σταθερότητα στην ωμική ζώνη.

Αυτοί οι σύνδεσμοι μπορεί:
- Να τραυματιστούν
- Να διαταθούν (διάστρεμμα)
- Να υποστούν μερική ρήξη
- Να υποστούν πλήρη ρήξη
οδηγώντας σε εξάρθρημα ή διαχωρισμό – διάσταση της ακρωμιοκλειδικής.
Όλες αυτές οι κακώσεις βαθμονομούνται ως εξής:
- Βαθμός Ι: Διάστρεμμα, ο ακρωμιοκλειδικός σύνδεσμος είναι ακέραιος
- Βαθμός ΙΙ: Ρήξη του ακρωμιοκλειδικού συνδέσμου, διάστρεμμα του κορακοκλειδικού συνδέσμου
- Βαθμός ΙΙΙ: Ρήξη και των δύο συνδέσμων (ακρωμιοκλειδικού και κορακοκλειδικού). Η ακρωμιοκλειδική άρθρωση είναι εξαρθρωμένη
- Βαθμός IV: ΙΙΙ με τη κλείδα προς τα πίσω προς/διαμέσου του τραπεζοειδούς μυός
- Βαθμός V: ΙΙΙ με ανύψωση της κλείδας προς τα πάνω
- Βαθμός VI: ΙΙΙ με τη κλείδα προς τα κάτω
Μετά τη κάκωση, αναπτύσσεται έντονος πόνος είτε λόγω της διάτασης ή της ρήξης των συνδέσμων είτε λόγω του τραυματισμού του διάρθριου δίσκου. Στη περίπτωση που υποστούν ρήξη οι σύνδεσμοι μπορεί να οδηγήσουν σε εξάρθρημα (διάσταση) της ακρωμιοκλειδικής με εμφανή παραμόρφωση, ψηλαφητή κλείδα και αδυναμία κίνησης στην ωμική ζώνη.
Αυτό οφείλεται στην απώλεια της φυσιολογικής υποστήριξης του βραχίονα και του ώμου γενικότερα, που δίνει την αίσθηση ότι προεξέχει το κομμάτι της περιφερικής κλείδας. Οι ασθενείς με διαχωρισμό (διάσταση) της ακρωμιοκλειδικής αναπτύσσουν οξύ ή και χρόνιο πόνο και κάποιου βαθμού αστάθεια κατά τη κίνηση του ώμου.

Πως αντιμετωπίζονται οι Κακώσεις της ακρωμιοκλειδικής άρθρωσης;
Ο πόνος που οφείλεται είτε στις αρθριτικές αλλοιώσεις ή στην οστεόλυση μπορεί να αντιμετωπιστεί με πολλούς τρόπους.
Η συντηρητική αντιμετώπιση αποτελεί την πρώτη προσέγγιση στο πρόβλημα, και περιλαμβάνει:
- Την ανάπαυση
- Τη χρήση φακέλου ανάρτησης
- Τροποποίηση των καθημερινών δραστηριοτήτων
- Τη λήψη αντιφλεγμονωδών φαρμάκων
- Τη χρήση κρύων ή ζεστών επιθεμάτων
- Την φυσικοθεραπεία (υπέρηχοι)
Όταν η συντηρητική αντιμετώπιση αποτυγχάνει να ανακουφίσει τον ασθενή από τον πόνο, η ενδαρθρική ένεση κορτικοστεροειδών και τοπικού αναισθητικού μπορεί να είναι χρήσιμη.
Αφενός, μειώνει τη φλεγμονώδη αντίδραση ανακουφίζοντας δραματικά από τον πόνο, και αφετέρου, επιβεβαιώνει την διάγνωση της κάκωσης της άρθρωσης.
Στις περιπτώσεις που ο πόνος εξακολουθεί να επηρεάζει την ποιότητα της ζωής του ασθενούς παρά τη συντηρητική θεραπεία, η χειρουργική επέμβαση γίνεται μια έγκυρη επιλογή.
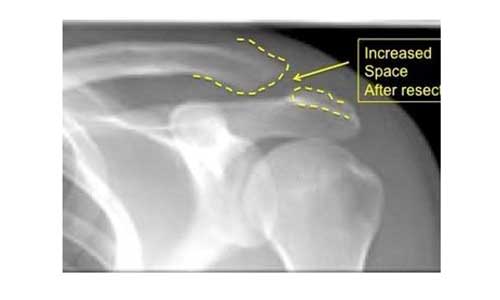
Με αυτή την επέμβαση αφαιρείται ένα τμήμα της κλείδας και του ακρωμίου μαζί με τον διάρθριο δίσκο, προκειμένου να δημιουργηθεί χώρος ώστε να μην υπάρχει κανένας ερεθισμός.
Η επέμβαση μπορεί να πραγματοποιηθεί αρθροσκοπικά ή ανοιχτά με τομή, δεδομένου ότι και οι δύο παρουσιάζουν την ίδια αποτελεσματικότητα.

Πως αντιμετωπίζεται ο Διαχωρισμός – Διάταση της ακρωμιοκλειδικής άρθρωσης;
Η αντιμετώπιση της διάστασης της ακρωμιοκλειδικής άρθρωσης είναι αμφιλεγόμενη.
Για τις περισσότερες περιπτώσεις διάστασης της ακρωμιοκλειδικής η συντηρητική θεραπεία είναι μια αποδεκτή μέθοδος διαχείρισης.
Αυτό ισχύει για τις κακώσεις 1ου και 2ου βαθμού.
Οι κακώσεις 3ου βαθμού μπορούν να αντιμετωπιστούν συντηρητικά με καλό επίπεδο ανακούφισης από τον πόνο, εάν ο ασθενής είναι διατεθειμένος να αποδεχθεί την προβολή-προεξοχή της κλείδας.
Ωστόσο μερικοί χειρουργοί προτείνουν την άμεση χειρουργική σταθεροποίηση χρησιμοποιώντας βίδα ή ράμματα.
Μέχρι σήμερα όμως, δεν υπάρχει η κλινική εμπειρία στην βιβλιογραφία για να υποστηρίξει αυτού του είδους την προσέγγιση.
Στις κακώσεις 4ου και 5ου βαθμού με σοβαρή διάσταση της ακρωμιοκλειδικής, υπάρχει μεγαλύτερη πιθανότητα πόνου και περιορισμένης λειτουργικότητας μόνο με την συντηρητική αγωγή, και η χειρουργική επέμβαση είναι η πιο λογική λύση.
Όταν η διάσταση της ακρωμιοκλειδικής είναι χρόνια (περισσότερο από μερικούς μήνες), η άρθρωση ανακατασκευάζεται και αποκαθίσταται χρησιμοποιώντας:
- Είτε τοπικούς συνδέσμους (αυτομοσχεύματα)
- Ή πτωματικούς τένοντες (αλλομοσχεύματα) σε συνδυασμό με ισχυρά ράμματα
Αρκετοί χειρουργοί πλέον ακολουθούν την δεύτερη επιλογή που αναφέρθηκε (αλλομοσχεύματα) δεδομένου ότι δημιουργεί μια ισχυρότερη τοπική ανακατασκευή των συνδέσμων της άρθρωσης. Οποιοδήποτε μόσχευμα και αν χρησιμοποιηθεί, η επέμβαση μπορεί να πραγματοποιηθεί είτε με συνδυασμό αρθροσκοπικής και ανοιχτής μεθόδου ή με μια εντελώς ανοιχτή χειρουργική επέμβαση.

Αποθεραπεία
ΜΕΤΑ ΑΠΟ ΑΡΘΡΟΣΚΟΠΙΚΗ Ή ΑΝΟΙΧΤΗ ΑΦΑΙΡΕΣΗ ΠΕΡΙΦΕΡΙΚΟΥ ΤΜΗΜΑΤΟΣ ΚΛΕΙΔΑΣ
Μετά την επέμβαση ο ασθενής εξέρχεται από το νοσοκομείο συνήθως την ίδια ημέρα, φορώντας έναν φάκελο ανάρτησης.
Τις πρώτες δύο ημέρες μπορεί να χρησιμοποιήσει ψυχρά επιθέματα για να ανακουφιστεί από τον πόνο.
Στη συνέχεια, η ανάρτηση μπορεί να αφαιρεθεί και να αρχίσει ο ασθενής με τις καθημερινές του δραστηριότητες όπως:
- Πλύσιμο
- Ντύσιμο
- Οδήγηση
- Άλλες καθημερινές δραστηριότητες
Ανάλογα με την περίπτωση ο Ορθοπεδικός θα δώσει πιο συγκεκριμένες οδηγίες σχετικά με την αποθεραπεία και την επιστροφή του ασθενούς στις καθημερινές και αθλητικές δραστηριότητές του.
ΜΕΤΑ ΑΠΟ ΑΠΟΚΑΤΑΣΤΑΣΗ – ΑΝΑΚΑΤΑΣΚΕΥΗ ΤΗΣ ΑΚΡΩΜΙΟΚΛΕΙΔΙΚΗΣ ΑΡΘΡΩΣΗΣ
Και σ’αυτήν την επέμβαση, ο ασθενής εξέρχεται από το νοσοκομείο την ίδια ημέρα του χειρουργείου, φορώντας έναν φάκελο ανάρτησης.
Κατά τον ίδιο τρόπο, τις πρώτες ημέρες, μαζί με τα παυσίπονα, θα εφαρμόσει ψυχρά επιθέματα για την αποφυγή του οιδήματος και του πόνου.
Ο φάκελος ανάρτησης θα φορεθεί για ένα χρονικό διάστημα 6 εβδομάδων προκειμένου να επιτραπεί η επούλωση του συνδέσμου.
Η ανάρτηση μπορεί να αφαιρεθεί κατά τη διάρκεια της ημέρας (π.χ. κατά τη διάρκεια του μπάνιου) αλλά σε καμία περίπτωση δε θα πρέπει να γίνει χρήση του χειρουργημένου άκρου πριν τις 6 εβδομάδες.